易基因:DNA甲基化/羟甲基化技术助力揭示IRF1在创伤性颅脑损伤中的表观调控机制|项目文章

日期:25-08-07

近日,空军军医大学唐都医院神经外科崔文兴博士为第一作者,白浩博士和郭成铉硕士为共同第一作者;屈延教授为论文通讯作者,葛顺楠教授、刘海啸副研究员为共同通讯作者在Science子刊《Science Translational Medicine》转化医学领域顶刊上发表题为《Interferon regulatory factor-1-expressing astrocytes are epigenetically controlled and exacerbate TBI-associated pathology in mice》的科研成果。研究讨论了干扰素调节因子1Interferon Regulatory Factor-1IRF1)在创伤性颅脑损伤(Traumatic Brain InjuryTBI)中的作用及其调控机制。研究团队通过DNA甲基化/羟甲基化及多组学分析、基因敲除小鼠模型以及药物筛选等方法,揭示了IRF1TBI中通过表观遗传机制调控星形胶质细胞(astrocytes)的促炎表型,并加剧TBI相关的病理变化。

标题:Interferon regulatory factor-1-expressing astrocytes are epigenetically controlled and exacerbate TBI-associated pathology in miceIRF1星形胶质细胞受表观遗传调控并加剧小鼠创伤性颅脑损伤相关病理变化)

发表时间:2025528

发表期刊:Science Translational MedicineSCI TRANSL MED

影响因子:IF14.6/Q1

技术平台:scRNA-seqRRBSoxRRBS等(易基因金牌技术

星形胶质细胞异质性与创伤性颅脑损伤(TBI)病理生理学密切相关,尤其是在TBI患者发病和死亡主要原因之一的脑水肿进展中。目前对于某些星形胶质细胞亚群如何促发急性脑损伤后的脑水肿知之甚少。本研究通过多组学方法鉴定出一个与TBI患者的临床严重程度和预后相关的IRF1阳性(IRF1+)星形胶质细胞簇(cluster)。在机制上,星形胶质细胞中的IRF1能够结合促炎细胞因子基因的启动子,促进神经毒性并破坏内皮紧密连接的完整性。通过使用Aldh1/1CreERT2; Irf1flox/flox小鼠模型验证了星形胶质细胞特异性敲除Irf1能够减轻星形胶质细胞介导的病理活动,改善血脑屏障(lood-Brain BarrierBBB)破坏,并降低TBI后的脑水肿。此外,星形胶质细胞中IRF1活性增强通过释放C-X-C基序趋化因子配体10CXCL10)促进了CD8+ T细胞招募,从而加剧BBB破坏和脑水肿。此外TET3Tet Methylcytosine Dioxygenase 3)介导的DNA羟甲基化是上调星形胶质细胞中IRF1表达的关键表观遗传机制,从而激活促炎转录。本研究最后开发了一种IRF1拮抗因子8003-3282,其在TBI小鼠模型中有效减轻炎症,保持BBB完整性,缓解脑水肿,并改善神经学结果。这些发现强调了IRF1+星形胶质细胞是TBI相关病理的关键介质,并表明靶向这一星形胶质细胞簇(cluster)可能是减轻TBI炎症、BBB损伤和脑水肿的潜在治疗策略。

结果图形

一、TBI患者脑水肿组织中细胞身份的鉴定

通过scRNA-seq分析,研究者鉴定出TBI患者脑水肿组织中的主要细胞类型,包括小胶质细胞、少突胶质细胞、星形胶质细胞等,并发现这些细胞类型均表现出炎症反应,其中星形胶质细胞和小胶质细胞的炎症反应最为显著。通过差异基因表达分析,发现TBI组中炎症相关基因(如IL-1β、IL-6CXCL10等)显著上调。通过GO分析,进一步揭示了这些细胞类型在TBI中的功能变化,如星形胶质细胞和小胶质细胞在炎症反应中的关键作用。

1:有或无TBI患者脑水肿组织中细胞群落的鉴定

(A) 6TBI患者围损伤皮层水肿组织中的42696个细胞以及4例无TBI对照个体皮层组织中的28974个细胞进行UMAP降维分析,展示整合分析鉴定出的主要细胞类型。

(B) 热图显示基于(A)scRNA-seq数据所得各细胞类型关键标记基因的表达情况。

(C) 差异基因表达分析突出显示TBI患者皮层组织中主要细胞类型内上调(红色)和下调(蓝色)基因。

(D) 柱状图展示基于(C)中差异表达基因对各主要脑细胞类型进行的GO通路富集分析结果。

(E) UMAP可视化展示TBI患者与对照组中的星形胶质细胞亚群分布。

(F) TBI组与对照组星形胶质细胞的比例聚类分析。

 

二、促炎星形胶质细胞亚群的鉴定

通过分析星形胶质细胞的基因表达,研究者鉴定出一个与TBI病理相关的IRF1阳性星形胶质细胞亚群。这些IRF1+星形胶质细胞表现出促炎和神经毒性表型,与TBI的严重程度和不良预后密切相关。通过伪时间分析(Pseudotime Analysis),研究者揭示星形胶质细胞从静止状态向促炎状态的转变过程。

2:促炎星形胶质细胞亚群的鉴定

(A) 点图展示TBI患者与对照组星形胶质细胞亚群中典型标记基因的表达。

(B) cluster 2星形胶质细胞进行的GO功能富集分析。

(C) 对各星形胶质细胞亚群进行神经毒性和促炎性星形胶质细胞基因集评分。所用基因集包括:C3IL1BMX1CD44CXCL10GBP2CCL2CHI3L1PSMB8SRGNSERPING1IFIT3ISG15 CCL20

(D) 重建星形胶质细胞从cluster 3cluster 2的分化轨迹。

(E) 对星形胶质细胞分化状态的估计,虚线框突出显示cluster 2

(F) 沿(E)所示分化轨迹的可变基因伪时间表达谱热图。颜色表示各基因的标准化表达水平。

(G) TBI患者围损伤水肿组织及正常人脑组织中,对C3CD44 GBP2(绿色)在星形胶质细胞(GFAP,红色)中的免疫荧光染色(每组n=6)。

 

三、IRF1是促炎星形胶质细胞激活的关键驱动因子

通过SCENIC分析,研究者发现IRF1是调控星形胶质细胞促炎表型的关键转录因子。在体外实验中,IRF1过表达显著诱导促炎和神经毒性相关基因表达,而IRF1敲低则抑制这些基因表达。通过免疫荧光染色,研究者在TBI患者的脑组织中发现了IRF1+星形胶质细胞显著增加,且IRF1表达与格拉斯哥昏迷评分(GCS)和长期神经功能预后呈负相关。

3scRNA-seq验证IRF1TBI中促炎星形胶质细胞激活的关键调控因子

(A) 患者TBI围损伤水肿组织与对照星形胶质细胞亚群中调控子(regulon)活性热图。

(B) UMAP降维图展示IRF1在各星形胶质细胞亚群中的表达,突出显示cluster 2

(C) UMAP可视化IRF1调控子(175个靶基因)活性,重点标记cluster 2

(D) 沿推断的伪时间轨迹展示的转录因子(TF)表达模式;颜色对应图2D所示伪时间排序后细胞状态。

(E) 热图显示在体外原代小鼠星形胶质细胞中过表达各TF后,促炎基因表达差异影响(每组n=3)。

(F) 在原代小鼠星形胶质细胞中过表达TF后的GO通路富集分析。

(G) 原代小鼠星形胶质细胞RNA-seq数据(Ad-Irf1 vs Ad-con)的GSEA分析展示促炎信号通路激活。

(H) 基于患者TBI与对照scRNA-seq数据对IRF1IRF1星形胶质细胞的神经毒性及促炎基因集评分。

(I) 左:代表性免疫荧光图像显示TBI患者围损伤水肿组织与未损伤对照皮层组织中IRF1(绿色)在星形胶质细胞(GFAP,红色)中的表达。右:TBI患者(n=20)与对照(n=6IRF1GFAP细胞比例免疫荧光定量。

(J) TBI患者(n=20)中IRF1GFAP细胞比例与GCS评分的相关性分析。

(K) TBI患者(n=20)中IRF1GFAP细胞比例与GOSE预后评分评估的长期神经学结局相关性分析。

(L) Western blot显示TBI患者围损伤水肿组织与对照组织中IRF1表达(每组n=7)。

(M) Western blot显示TBI及假手术小鼠在损伤后第3天的星形胶质细胞中IRF1表达(每组n=6)。

(N) 损伤后第3天,TBI小鼠围损伤水肿、海马、丘脑及杏仁核样本中IRF1(绿色)在星形胶质细胞(GFAP,红色)表达的免疫荧光最大强度投影(每组n=6)。

 

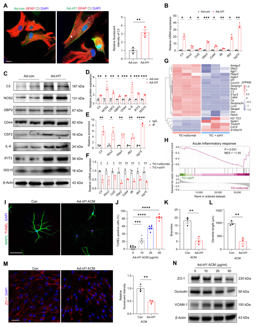
四、IRF1在体外驱动星形胶质细胞的促炎和神经毒性表型

通过ChIP实验研究者发现IRF1直接结合到多个促炎和神经毒性基因的启动子区域,包括C3Nos2Gbp2等。在体外实验中,IRF1过表达的星形胶质细胞培养基(ACM)显著增加了神经元死亡率,并降低神经元树突分支和长度。通过共培养实验,研究者发现IRF1过表达的星形胶质细胞培养基能够破坏脑微血管内皮细胞的紧密连接,增加炎症标志物的表达。

4IRF1在体外促进星形胶质细胞的促炎和神经毒性反应

(A) 感染腺病毒对照组(ad-con)或IRF1过表达组(ad-Irf1)的原代星形胶质细胞(GFAP标记,红色)免疫荧光染色检测。

(B) qPCR检测ad-conad-Irf1转染星形胶质细胞中指定基因表达。

(C-D) Western blot及定量检测指定蛋白表达水平。

(E) ChIP-qPCR检测ad-Irf1转染星形胶质细胞中IRF1与指定基因启动子区的结合。

(F) qPCR检测siIrf1siScrmbl转染并经TICTNF/IL-1α/C1q)处理后星形胶质细胞中指定基因表达。

(G) TIC刺激后,敲低Irf1或乱序siRNA处理的星形胶质细胞中促炎与神经保护基因表达RNA-seq热图。

(H) RNA-seq的急性炎症反应Go termGSEA基因集富集分析。

(I-J) 原代神经元(MAP2标记)暴露于不同浓度ad-Irf1转染星形胶质细胞条件培养基后的TUNEL阳性细胞代表性图像及定量。

(K-L) 原代神经元暴露于25μg/ml ad-Irf1转染星形胶质细胞ACM后的树突分支数及总树突长度定量。

(M) 左侧:bEnd.3内皮细胞经25μg/ml ad-Irf1转染星形胶质细胞ACM或对照培养基处理后的代表性图像,紧密连接蛋白ZO-1红色标记。右侧:ZO-1荧光强度定量。

(N) Western blot检测bEnd.3内皮细胞经递增浓度ad-Irf1转染星形胶质细胞ACM处理后ZO-1occludinVCAM-1的表达。


参考文献:

Cui W, Bai H, Guo C, Zhou J, Feng D, Zhang S, Gao F, Han L, Tian Y, Dong J, Wei F, Bai J, Wu X, Shi Y, Guo H, Wang L, Li Z, Guo W, Zhao T, Heng L, Cai Q, Liu H, Ge S, Qu Y. Interferon regulatory factor-1-expressing astrocytes are epigenetically controlled and exacerbate TBI-associated pathology in mice. Sci Transl Med. 2025 May 28;17(800):eadr5300. doi: 10.1126/scitranslmed.adr5300.